Welcome to our Smile Gallery, where we highlight the positive impact of modern dentistry. Explore a variety of before and after cases that demonstrate how dental treatments can enhance both the appearance and health of your smile. From gum grafting and crown lengthening to dental implants and more, these cases showcase customized solutions for diverse dental needs. See how our expert care can boost your confidence, improve functionality, and help you achieve the radiant smile you deserve.
Teeth Whitening Cases
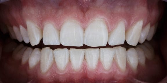
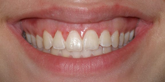
Teeth Whitening for a Brighter Smile
Patient concern
The patient was unhappy with the yellowish discoloration of their teeth, which had developed over time due to dietary habits and natural aging. They expressed a desire for a whiter, brighter smile to boost their confidence.
Professional teeth whitening was recommended to
- Remove surface stains caused by food, drinks, and other lifestyle factors.
- Lighten the intrinsic discoloration within the tooth structure.
- Provide a safe and effective method for achieving a radiant smile.
A dramatic improvement
Before: Teeth had visible yellowish stains and a dull appearance.
After: Teeth are significantly whiter, with a uniform and natural brightness.
The patient was delighted with the results and reported feeling more confident about their smile.
Teeth whitening is a quick, non-invasive procedure that delivers noticeable improvements in dental aesthetics. This case highlights how professional whitening can transform a smile and positively impact a patient’s self-esteem.


Dental Implant Cases
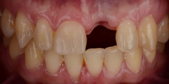
Single-Tooth Dental Implant for Smile Restoration
Patient concern
The patient presented with a missing upper front tooth, which caused functional challenges while eating and speaking, as well as significant aesthetic concerns. They expressed a desire for a permanent solution that would restore both functionality and confidence in their smile.
A step-by-step treatment plan was developed to
- Place a titanium dental implant securely into the jawbone to serve as the tooth root.
- Attach a custom-designed dental crown to match the natural teeth in color, size, and shape.
- Ensure a seamless restoration for optimal function and aesthetics.
The procedure was carried out in two phases
- Implant Placement: The implant was surgically placed into the jawbone under local anesthesia. The site was allowed to heal and integrate with the bone over several months (osseointegration).
- Crown Restoration: Once the implant was fully integrated, an abutment was attached, followed by the placement of a custom-made porcelain crown.
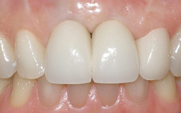
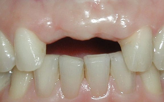
A remarkable transformation
Before: The visible gap significantly affected the patient's smile and oral functionality.
After: The dental implant and crown seamlessly restored the missing tooth, resulting in a natural-looking and functional smile.
The patient expressed great satisfaction with the outcome, noting a significant improvement in confidence and comfort.
This case highlights the effectiveness of single-tooth dental implants in restoring missing teeth. The implant not only provides a durable, permanent solution but also enhances the aesthetics and functionality of the patient's smile.


Transformative Multiple Tooth Dental Implants
Patient concern
The patient came in with several missing teeth, which affected both their ability to chew and their confidence in their smile. The primary goals were to restore function and aesthetics with a long-lasting solution.
The recommended treatment
For individuals with similar dental issues, multiple tooth implants are recommended as an effective solution. They offer durability, improved oral health, and a natural appearance, making them an ideal choice for long-term restoration.
Multiple dental implants were strategically placed to replace the missing teeth. This involved surgical insertion of titanium posts into the jawbone, followed by the attachment of custom-designed crowns that matched the natural teeth in color and shape.
A whole new smile
The implants provide a natural-looking, complete smile and restore full functionality. The patient reported a significant improvement in both chewing ability and self-esteem.
This case highlights the effectiveness of dental implants in restoring both function and aesthetics. The patient’s satisfaction and the seamless integration of the implants demonstrate the success of this treatment approach.


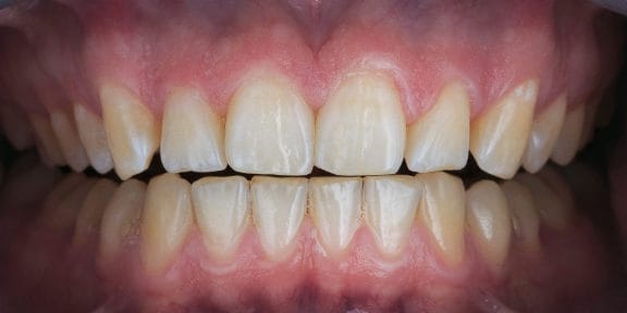
Dental Veneer Cases
Smile Makeover with Dental Veneers
Patient concern
The patient presented with concerns about the appearance of their smile, including unevenly shaped teeth, discoloration, and minor misalignments. They desired a solution to achieve a brighter, more harmonious smile.
Upon examination, the patient’s teeth showed discoloration resistant to whitening treatments, mild crowding, and uneven edges. Dental veneers were recommended as the ideal solution to address all aesthetic concerns comprehensively.
Recommended treatment
The treatment was carefully designed to enhance the patient's smile using custom porcelain veneers. The plan included:
- Selecting a natural yet luminous shade to complement the patient’s skin tone and preferences.
- Reshaping and preparing the teeth minimally to allow for precise veneer placement.
- Custom-crafting veneers to achieve symmetry and balance.
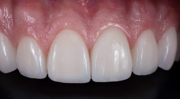
The difference is night and day
Before: The patient’s teeth exhibited discoloration, minor misalignments, and uneven edges, impacting the overall aesthetics of the smile.
After: The porcelain veneers created a radiant, uniform smile, enhancing the patient’s confidence and appearance. The veneers blended seamlessly with the natural teeth while delivering a bright, natural finish.
The patient was thrilled with the results, describing the transformation as life-changing. They reported feeling more confident in both professional and social settings.
This case illustrates how dental veneers can provide a comprehensive solution for aesthetic dental concerns. Veneers not only deliver an enhanced smile but also preserve natural tooth structure, making them a preferred choice for many patients seeking a smile makeover.


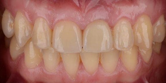
Dental veneers to the rescue
Patient concern
This patient presented with concerns about the appearance of their teeth, including discoloration, uneven alignment, and irregular shapes. They sought a solution to achieve a bright, uniform, and aesthetically pleasing smile.
Treatment Plan
The patient opted for porcelain veneers as the ideal solution. This treatment was chosen to address multiple issues, including tooth discoloration, minor misalignment, and inconsistencies in tooth shape and size.
- Consultation and Planning: A thorough evaluation of the patient's oral health and aesthetic goals was conducted. Digital imaging and mock-ups helped design a customized smile tailored to the patient's facial features and preferences.
- Preparation: The teeth were minimally prepared to ensure a perfect fit for the veneers. Impressions were taken to fabricate custom porcelain veneers.
- Placement: Once the veneers were crafted to exact specifications, they were bonded to the teeth using advanced adhesive techniques. Careful adjustments were made to ensure the perfect fit and natural appearance.
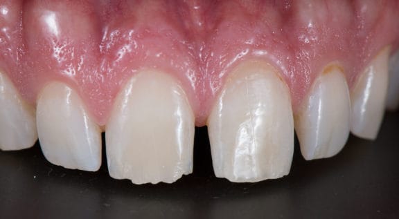
Excellent results
Before: Discolored, uneven teeth with irregular shapes.
After: Bright, aligned, and harmonious smile showcasing the artistry of porcelain veneers.
The patient now enjoys a brilliantly white and natural-looking smile with perfectly aligned and evenly shaped teeth. They expressed immense satisfaction with their new smile, highlighting how the transformation has significantly boosted their confidence in personal and professional interactions.
Porcelain veneers offer a versatile solution for patients seeking to correct multiple aesthetic dental concerns. This case exemplifies how advanced cosmetic dentistry can deliver life-changing results with minimal intervention.


Crown Lengthening Cases
Crown Lengthening for an Enhanced Smile
Patient concern
The patient presented with a concern about the appearance of a "gummy smile," where excess gum tissue covered a significant portion of the teeth, affecting their overall smile aesthetics.
Clinical examination revealed excessive gingival tissue covering the crown of the teeth, making the teeth appear shorter than their actual length. This condition was diagnosed as requiring crown lengthening to achieve a balanced smile.
The recommended treatment
- Reshape and remove the excess gum tissue.
- Expose more of the tooth structure to create a proportionate tooth-to-gum ratio.
- Enhance the aesthetics of the patient’s smile.
Transformative results
Before: The teeth appear shorter, with the gum line covering much of the crowns.
After: The gum line is elevated to reveal more of the teeth, creating a balanced and harmonious smile.
The patient was thrilled with the results, reporting increased confidence in their smile.


Crown Lengthening for Improved Dental Proportions
Patient concern
This patient came to us with concerns about short-looking teeth due to excessive gum coverage. The uneven gum line was impacting the overall symmetry and aesthetics of the smile. The aim was to achieve a more balanced appearance by exposing the natural tooth structure.
The recommended treatment
For individuals experiencing similar issues, crown lengthening is recommended as an effective solution to enhance smile aesthetics. It not only improves the visual balance but also contributes to better oral hygiene by allowing easier cleaning of the teeth.
A crown lengthening procedure was performed to carefully reshape the gum tissue, revealing more of the tooth surface. This involved precise removal of excess gum tissue and, if needed, minor contouring of the underlying bone to ensure optimal results.
A positive outcome
As shown in the "after" image, the patient's smile is now more proportionate and aesthetically pleasing, with a well-defined tooth-to-gum ratio. The procedure effectively minimized the appearance of a gummy smile, boosting the patient's confidence.
This case illustrates the significant impact of crown lengthening in refining smile aesthetics. The procedure successfully addressed the patient’s concerns, resulting in a more harmonious and attractive smile.


