Wisdom Tooth Development
Wisdom teeth generally begin to form in your pre-teen years. By late teen years, the crown of the wisdom teeth will begin to erupt through the gums if there is adequate room. By mid twenties, your wisdom teeth will either be able to fully erupt or will have become impacted. Early removal of wisdom teeth makes the procedure easier for the patient to tolerate and promotes faster healing after wards. By your early forties, the wisdom teeth roots have become fully anchored to the jawbone and if required to be extracted, will be much harder and will need more time to heal.

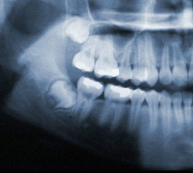
Wisdom Tooth Problems
The problems involving your wisdom teeth may be caused by the size of your jaw and/or by how crowded your teeth are. Common warning symptoms that there is an un-natural problem in the development of your wisdom teeth could be pain and swelling.
Symptoms can be caused by:
- Infection to the gums
- A crowded tooth displacing neighboring teeth
- A decayed wisdom tooth
- Poorly positioned wisdom tooth
- A cyst that destroys bone
Wisdom Tooth Removal
Wisdom teeth can lead to problems if there isn't enough space for them to surface or they come through in the wrong position.
Wisdom teeth also known as third molars are the last teeth to erupt into the mouth. Wisdom teeth typically appear around a person's mid-twenties but can erupt much later. If wisdom teeth don't have enough space symptoms can occur. The wisdom teeth may only partially erupt or might not come through at all. Dentists designate wisdom teeth 'impacted' if they are wholly or partly blocked from eruption into the mouth. The tooth may lie at an angle and remain tipped against an adjacent tooth. Impacted wisdom teeth can cause problems like pain and swelling; The mouth could ache when stretched open wide or it may be difficult to open your mouth. Tenderness when chewing and biting may occur. Earaches may develop from the spread of pain in the mouth. Symptoms may be intermittent but can begin anytime without warning. If you are experiencing symptoms, it is best to get treatment 'usually removal' as soon as you can to avoid potentially expensive and painful complications.
After Wisdom Tooth Removal
Post-operative care of the removal of impacted teeth is very important. Carefully follow instructions to minimize unnecessary pain and complications of infection and/or swelling.
- BLEEDING. A certain amount of bleeding is to be expected following surgery. Slight bleeding, oozing, or slight blood traces in the saliva is not uncommon. To help minimize bleeding, avoid any sort of exercise or excitement. Excessive bleeding may be controlled by first rinsing or wiping any old clots from your mouth, then placing a gauze pad over the area and biting firmly for thirty minutes. This action should create a blood clot and bleeding will stop; however, if bleeding does not stop repeat as necessary. As an alternative to the gauze gently bite on a moistened tea bag for thirty minutes. The tannic acid in the tea bag helps to form a clot by contracting bleeding vessels. If bleeding does not subside, call the office at (508) 877-0800 for additional instructions.
- Standard After Surgery Instructions:
- The gauze pad placed over the surgical area should be kept in place for a half hour prior to removal.
- Vigorous mouth rinsing the surgical area following surgery should be avoided. Vigorous sucking through a straw should be avoided. Touching the surgical area should be avoided. These actions may cause the blood clot to become dislodged and cause excess bleeding.
- Begin taking the prescribed pain medications as soon as you begin to feel discomfort.
- Place ice packs to the sides of your face where surgery was performed.
- Restrict your activities the day of surgery and resume normal activity when you feel comfortable.
- SWELLING. Swelling around the mouth, cheeks, eyes and sides of the face is not uncommon as it is the body's normal process in repairing itself. Swelling does not always appear immediately. It may take 12 to 24 hours before swelling becomes apparent. Swelling may not reach its maximum until 2-3 days post-surgery. Swelling may be minimized by the immediate use of ice packs post-surgery. Two baggies filled with ice, or ice packs should be applied to the sides of the face where surgery was performed. The ice packs should be left on continuously while you are awake. After 36 hours, ice has no beneficial effect. If swelling or jaw stiffness has persisted for several days, there is no cause for alarm. This is a normal reaction to surgery. Thirty-six hours following surgery, the application of moist heat to the sides of the face is beneficial in reducing the size of the swelling.
- PAIN MEDICATION. For moderate pain, one or two tablets of Tylenol or Extra Strength Tylenol may be taken every three to four hours or Ibuprofen, (Motrin or Advil) two-four 200 mg tablets may be taken every 3-4 hours. For severe pain, take the tablets prescribed as directed. The prescribed pain medicine will make you groggy and will slow down your reflexes. Do not drive or operate machinery and avoid alcoholic beverages. Pain or discomfort should subside more every day. If pain persists, it may require attention and you should call the office for assistance.
- DIET. After general anesthetic or I.V. sedation, liquids should be initially taken. Do not use straws. Drink from a glass. The sucking motion can cause more bleeding by dislodging the blood clot. You may eat anything soft by chewing away from the surgical sites. Nourishment and regular fluid intake is important to your recovery. At least 5-6 glasses of liquid should be taken daily. Try not to miss a single meal. You will feel better, have more strength, less discomfort and heal faster if you continue to eat.
- HOME HYGIENE CARE. There will be a cavity where the tooth was removed. The cavity will gradually over the next month fill in with the new tissue. In the mean time, the area should be kept clean especially after meals with salt water rinses or a toothbrush. No rinsing of any kind should be performed until the day following surgery. You can brush your teeth the night of surgery but rinse gently. The day after surgery you should begin rinsing at least 5-6 times a day especially after eating with a cup of warm water mixed with a teaspoon of salt.
- ANTIBIOTICS. If Nobscot Dental Care has prescribed antibiotics, take the tablets or liquid as directed. Antibiotics will be given to help prevent infection. Call the office in the event of a rash or other unfavorable reaction at (508) 877-0800.
- NAUSEA. Occasionally, a prescribed pain medicine may induce nausea and/or vomiting following surgery. Do not take anything by mouth for at least an hour including the prescribed medicine. You should then sip on coke, tea or ginger ale. You should sip slowly over a fifteen-minute period
- Other Complications
- NUMBNESS. As discussed in your pre-surgery consultation numbness of the lip, chin, or tongue can occur, but there is no cause for alarm. This is usually a temporary condition. If you do experience numbness be careful not to bite your lip of tongue as you will not feel the action. Call Nobscot Dental Care if you have any questions.
- TEMPERATURE. Slight elevation of temperature immediately following surgery is not uncommon. If the temperature persists, notify the office. Tylenol or ibuprofen should be taken to reduce the fever.
- DIZZINESS. Taking pain medications can make you dizzy. You can get light headed when you stand up suddenly. Before standing up, you should sit for one minute then get up.
- SUTURES. Sutures may be placed in the area of surgery to minimize post-operative bleeding and to help healing. Sometimes they become dislodged, this is no cause for alarm. Just remove the suture from your mouth and discard it. In about a week post surgery the sutures will be removed by Nobscot Dental Care. It is a simple procedure that does not require any anesthesia or needles and only takes a few minutes.
- SORE THROAT PAIN. Sore throats and pain when swallowing are not uncommon. The muscles get swollen. The normal act of swallowing can then become painful. This will subside in 2-3 days.
- JAW STIFFNESS. Stiffness of the jaw muscles may cause difficulty in opening your mouth for a few days following surgery. This is a normal post-operative event which will resolve in time.

