Children's Tooth Development
Children continually get new teeth from age 3 months to the age 6 years. Most children have a full set of 20 primary teeth by the time they are 3 years old. As a child nears the age 6, the jaw grows making room for the permanent teeth. At the same time, the roots of the baby teeth begin to be resorbed by the tissues around them and the permanent teeth under them begin to erupt.
Primary teeth are just as important as permanent teeth for chewing, speaking and appearance. They also serve as placement holders for the permanent teeth. Primary teeth also provide structure to help shape the child's face.
Pediatric Dental X-Rays
In general, children need x-rays more often than adults. Their mouths grow and change rapidly. They are more susceptible to tooth decay than adults. The American Academy of Pediatric Dentistry recommends x-ray examinations every six months for children with a high risk of tooth decay. Children with a low risk of tooth decay require x-rays less frequently.
X-rays allow dentists to diagnose and treat health conditions that cannot be detected during a clinical examination. If dental problems are found and treated early, dental care is more comfortable and affordable.
X-ray films detect:
- Cavities
- Erupting teeth
- Diagnose bone diseases
- Evaluate the results of an injury
- Plan orthodontic treatment
Particular care is applied to minimize the exposure of young patients to radiation. With contemporary safeguards, the amount of radiation received in a dental x-ray examination is extremely small. The risk is negligible. In fact, dental x-rays represent a far smaller risk than an undetected and untreated dental problem.

Toothpaste for my child
There is no such thing as the best toothpaste. We recommend ONLY products that have been ADA (American Dental Association) accepted or approved.
The selection is usually made on a case-by-case basis, however the main consideration when selecting toothpaste is your child's age.
This is due to the risk of fluorosis in younger children that swallow toothpaste during regular brushing. A child may face the condition called enamel fluorosis if he or she gets too much fluoride during the years of tooth development. Too much fluoride can result in defects in tooth enamel.

Baby Tooth Care
Healthy teeth are important to your baby's overall health. Teeth help your baby chew food and form words and sounds when speaking. They also affect the way your baby's jaw grows.
Every baby is different. Generally, the 2 front teeth start to appear between 4 and 7 months of age. Teething is usually painless, but it can make some babies uncomfortable and fussy. Giving your baby a cold teething ring or a cold washcloth to chew or suck on may help. Teething does not cause a fever. If your baby has a fever, you should talk to your doctor.
Start cleaning your baby's teeth twice a day as soon as the first tooth appears. Until your child is 1 year old, you can use a wet wash cloth or gauze to clean your baby's teeth and gums. At about 1 year to 18 months of age, you should start using a soft baby toothbrush and a small dab of toothpaste that does not have fluoride in it. This type of toothpaste is safe for your baby to swallow.
Be sure to take your baby to a dentist by his or her first birthday, especially if there is a high risk for cavities or any other problems with his or her teeth. It is better for your child to meet the dentist and see the office before he or she has a tooth problem.

Baby Bottle Tooth Decay
Baby bottle tooth decay or syndrome is a form of tooth decay that can destroy the teeth of an infant. This decay may even enter the underlying bone structure, which can hamper development of the permanent teeth. The teeth most likely to be damaged are the upper teeth.
Baby bottle decay is caused by frequent and long exposure of a child's teeth to liquids containing sugar such as milk, formula, fruit juices, pop and other sweetened liquids. These liquids fuel the bacteria in a child's mouth, which produces acids that attack enamel.

Thumb Sucking
It is completely normal and healthy for your baby or young child to suck on a thumb, finger, or pacifier. Children usually give up sucking habits on their own by the time they are 4 to 5 years old. If they stop the habit at this age, the shape of the jaw is usually not affected and the teeth grow in normally. Children who continue sucking on a pacifier, finger, or thumb when their permanent adult teeth start to come in are more likely to have bite problems.
Sucking can cause:
- The top front teeth to slant out
- The bottom front teeth to tilt in
- The upper and lower jaws to be misaligned
- The roof of the mouth to be narrowed
- The need for braces
Treatment:
Your doctor may decide to construct an appliance to discourage thumb sucking.

Having Baby Teeth Pulled
How is that going to affect him or her?
Children require extraction of one or more primary teeth in certain situations. These situations may include extensive decay on their front teeth, and/or localized infection (for example an abscess or a gum boil).
Extractions are also necessary in cases of trauma, where the baby teeth have been pushed back, pushed forward, broken or simply knocked out.
Parents are obviously concerned of the aesthetic and functional effects (on speech, feeding, and breathing) of removing one or more front baby teeth.
There is good evidence that has shown NO long-term speech impediments on these cases. We also know from our professional experience that once the gums heal, children will be able to eat almost anything, since they can still bite-and-cut with the remaining teeth.
As far as aesthetics is concerned, your pediatric dentist can offer you information on fixed appliances that can replace the missing tooth/teeth, assuming your child meets the right criteria.

Early Childhood Caries
Childhood cavities, also now known as "Early Childhood Caries" is an aggressive form of caries that occurs in infants and very young children. It is typically associated with prolonged consumption of liquids containing sugar and affects initially the top front teeth, later spreading to other "baby teeth." Because of the aggressive nature of this disease, early intervention is necessary.
The American Academy of Pediatric Dentistry (AAPD) and the American Academy of Pediatrics (AAP) recommend that ALL children should see a dentist before age one.
There are gaps between my child's teeth, is this normal?
It is normal and even "ideal" for baby teeth to have spacing between each other.
Keep in mind that when permanent teeth erupt, their size will be considerably larger than that of baby teeth. As the baby teeth are lost, the erupting permanent tooth will quickly take advantage of this excess space.
Children who do not have spacing in their primary dentition can have a higher incidence of crowding (crooked teeth) in the permanent dentition.

How does enamel fluorosis occur?
By swallowing too much fluoride for the child's size and weight during the years of tooth development, a child can develop enamel fluorosis. This can happen in several different ways.
First, a child may take more of a fluoride supplement than the amount prescribed.
Second, the child may take a fluoride supplement when there is already an optimal amount of fluoride in the drinking water.
Third, some children simply like the taste of fluoridated toothpaste. They may use too much toothpaste, and then swallow it instead of spitting it out.

My child's teeth have stains on them; are these cavities?
When a baby tooth changes color, it can mean many things. Baby teeth can and do normally change in color, particularly close to the time that they become loose; however, this change is minimal and should not be confused with a carious lesion (cavity).
The best way to determine if your child has a stain or a true cavity is to take him or her to a pediatric dentist.
Caries is an infectious disease; it progresses if left untreated, and usually is associated with pain (especially when the cavities are large). Teeth with cavities typically assume a darker (brown) discoloration; and depending on the extent, may exhibit loss of tooth structure.
Teeth that have been previously "bumped" may also change in color. Traumatized baby teeth can assume a yellow or a dark discoloration, which may or may not be associated with pain.
Other less common causes of changes in color may be: fluorosis, food staining (particularly tea or colas), systemic disease (hepatitis), etc.

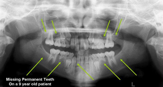
Missing Permanent Teeth
Hypodontia (the common dental term) describes a situation when fewer than 6 permanent teeth are missing, the term Oligodontia is used when more than 6 permanent teeth are missing (they were never formed). The most common missing teeth are the third molars (otherwise known as the Wisdom Teeth), followed by the premolars and the lateral incisors. Although it is not uncommon to have one missing tooth, patients with multiple missing teeth generally have a strong genetic component and it has been linked to conditions such as Ectodermal Dysplasia and several syndromes. Because early recognition aids in proper treatment, your dentist will refer you to specialists (orthodontist, oral surgeons, etc) that will determine which options suit you best to replace the missing teeth.

My child is getting shark teeth; what can I do?
One of our most common consults occurs when children around the age of seven begin to lose their lower front teeth. Many of our parents become overly worried about this phenomenon. It is VERY NORMAL for permanent lower incisors (front teeth) to erupt behind their predecessors (baby teeth); however, if a baby tooth is not loose by the time half of the permanent incisor has erupted, it may be necessary to pull it.

My child has crooked teeth; will they need braces?
Crooked or crowded teeth are very common in the growing patient. Even patients that get braces may develop a minor degree of crooked (crowded) teeth, particularly in the front teeth of the jaws, as they grow old.
The first step in determining the need for treatment is what we call an orthodontic consult. During this appointment, we may obtain special records and special x-rays of your child's jaw. This information will allow us to make a decision based on predicted growth patterns that your child may show later. In orthodontic terms, we refer to this as Early Treatment.
Early Treatment refers to ANY orthodontic (braces) or orthopedic appliances (like Headgear) treatment that begins when the child is in primary dentition or in early mixed dentition (when the first permanent teeth begin to erupt).
Early Treatment has been proven to be effective despite objections by some people in the orthodontic community.
The American Academy of Pediatric Dentistry (AAPD) recognizes that early diagnosis and successful treatment of developing malocclusions can have both short-term and long-term benefits, while achieving the goal of occlusal harmony, function, and facial aesthetics.

Will you need to give my child a shot to do the dental work?
This is one of the most commonly asked questions that we get from our patient's parents. We try to minimize the discomfort of the injection by placing a gel that works as a local anesthetic to numb the tissue were the injection will be administered.
Profound local anesthesia is usually obtained five to ten minutes after the injection, depending on the area of the mouth where the anesthetic was placed. We always check to confirm that the area is numb before we begin to work. In cases of localized infection or trauma (like broken teeth), it is very difficult to obtain profound anesthesia. However, we do have other means of supplementing the anesthetic (like conjoined use of nitrous-oxide gas, medications, or conscious sedation).
Younger children, particularly pre-schoolers, may interpret the feeling of numbness as pain, and therefore cry. Please follow the post-operative instructions that we give you, in order to minimize complications such as lip biting.

Dental Anesthesia For Children
Nobscot Dental Care treats pediatric patients in Framingham. Our office often treats patients who present special challenges related to their age, behavior, medical conditions, or any other special needs. To address these challenges effectively in order to provide "predictable" treatment, your pediatric dentist may recommend treating your child under General Anesthesia.
Nobscot Dental Care, by virtue of training and experience, is qualified to recognize the indications for such an approach and to render such care. Our team will discuss all the necessary steps that must be taken in order to promptly and safely complete your child's dental treatment after this treatment option has been chosen.

What is general anesthesia and how safe is it?
The use of general anesthesia for dental work in children is sometimes necessary in order to provide safe, efficient, and predictable care.
The general anesthetic is given to your child by a specialist (anesthesiologist) and ONLY after the child has been thoroughly screened by a physician.
The American Academy of Pediatric Dentistry (AAPD) recognizes the need for general anesthesia in certain situations where challenges relating to the child's age, behavior, medical conditions, developmental disabilities, intellectual limitations, or special treatment needs may warrant it.
Pediatric dentists are, by virtue of training and experience, qualified to recognize the indications for such an approach and to render such care. Your pediatric dentist and his staff will discuss all the necessary steps that must be taken in order to promptly and safely complete your child's dental treatment after this treatment option has been chosen.
Like any procedure in which a child's conscious state is altered, there are some risks involved. The main risks (serious complications) associated with an oral sedation include, but are not limited to: Allergic reaction, respiratory arrest, cardiac arrest, and death.
Statistically, the chances of a serious complication are similar to those of being involved in a life-threatening motor vehicle accident.
Please make sure you fully understand as a parent or legal guardian all the risks involved with this procedure. Also review the instructions that you must follow the day before the procedure.

What is oral sedation?
A conscious oral sedation is a procedure in which a child is given an oral medication that causes a depressed level of consciousness. The American Academy of Pediatric Dentistry (AAPD) has clearly defined the indications for this procedure, and they are as follows:
- Preschool children who cannot understand or cooperate for definitive treatment.
- Patients requiring dental care who cannot cooperate due to a lack of psychological or emotional maturity.
- Patients requiring dental treatment who cannot cooperate due to a cognitive, physical or medical disability.
- Patients who require dental care but are fearful, anxious and cannot cooperate for treatment.
As with any procedure in which a child's conscious state is altered, there are some risks involved. The main risks (serious complications) associated with conscious sedation include, but are not limited to: aspiration, respiratory arrest, cardiac arrest, and death. Because your child will be partially awake, local dental anesthesia (a lidocaine shot) is still needed; and this may limit the extent of work that we can provide. Sedation dentistry is also an option in cases of accidents or trauma; but in these situations, the decision to administer the medication must take into consideration the risk of aspiration (breathing vomit into the lungs) and any head trauma that may have occurred. If your child is a candidate for a conscious sedation, please make sure you follow the instructions provided by your pediatric dentist.

Can you do all the work at once with a sedation?
In cases with extensive decay, we are limited by the maximum dosage of local anesthetic that we can use. As a rule, we also consider your child's comfort after he/she leaves the clinic in order to determine how much local anesthetic we can use.
Very young children are at high risk of biting their lips or chewing on the inside part of their cheeks after they receive local anesthetic (a lidocaine shot). This usually happens because of their natural curiosity; they try to feel the area or areas that are numb.
For these and other reasons, it is unlikely that we could work on all of your child's teeth at once. An exception to this rule would be a child that is taken to the operating room.

